超音波(エコー)って何が見えるの???
                       
1)筋肉、靭帯又骨の表面等、体内の異物
                 (ガングリオン等)
              
2)損傷部分の回復時の血管分布の反応。

 
                スポーツ障害に対して大変有効です。
 
※骨折、異物(ガングリオン等)発見した時は医師に紹介いたします。
 ここでは、「超音波画像みえるもの」
           
         例)を載せていきます。
  随時公開していく。。。予定です。^-^
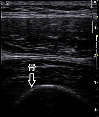
           正常の骨ライン            骨折のライン
 骨    
           正常の骨、軟骨  異常側  正常側
 骨、軟骨    
   正常な筋肉  筋肉の損傷
 筋肉    
     サッカープレー中、相手の膝が大腿部
に当たり受傷する。。
赤矢印の下方の黒色の部分が損傷部分。
   正常な筋肉  筋肉の損傷
 輪切りに見た筋肉の損傷部    
     赤矢印の下の部分の黒い場所が
損傷部位です。プローブで圧迫すると黒い部分
変形したので水溶性のものかと判断しました。
  正常な指関節 捻挫の指関節 
 手の指(4指)    
   白いライン は骨〜腱の距離です。  赤いラインは骨〜腱までの距離。
プールで平泳ぎの際、水中で指を壁にぶつけ負傷。水中で「ポキッ」と音が聞こえました。

掌側板が腫れています(赤ライン)。
骨の上層部に黒い部分(出血と思われる)
が観察されます。

はい負傷者は僕です。^~^
   患側  健側  野球投球障害
 肘関節(内側痛)    左の画像は肘関節の内側部の画像です。

左図の患側図側の小さい➡部分が健側と
比べ凸だ見られます。ストレスをかけてみましたが動揺性見られないため過去の靭帯の牽引による骨隆起かと思われます。